
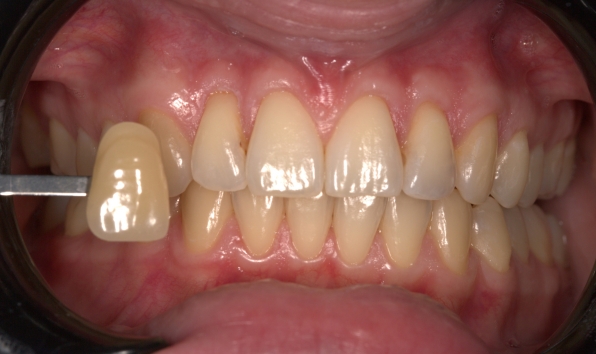
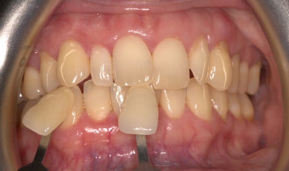
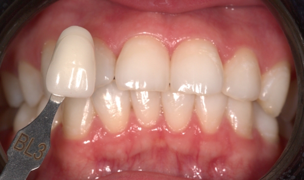
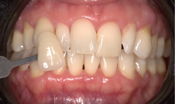
Boutique Whitening is one of the simplest and safest ways to brighten your smile. Unlike shop-bought kits, this is a professional system that gives you predictable results. We use our digital scanner to take an accurate 3D record of your teeth (no messy impressions here), which allows us to create custom trays that fit perfectly. You’ll then use a professional whitening gel at home. The treatment works gradually, leaving you with a fresh, natural brightness, nothing over the top, to the level you are happy with.
Once your trays are ready, you simply add a small amount of whitening gel and wear them either during the day or overnight, whichever fits better into your routine. Over the next couple of weeks, you’ll notice your smile becoming lighter and more vibrant. Many patients tell us the boost in confidence happens quicker than they expected. We can give you more details customised to your teeth when you visit us.
Yes, completely. When carried out under a dentist’s supervision, whitening is very safe. Boutique Whitening gels are specially formulated to protect your teeth and gums. Since your trays are custom-made using digital scans, they fit snugly and comfortably, reducing irritation.
Book your Boutique Whitening consultation today at Knightsfield Dental Practice in Welwyn Garden City.
Call us or email contact@knightsfielddental.com to request an appointment.
A brighter, more confident smile could be just a couple of weeks away.
I recently had some dental issues with broken teeth and saw Maya for a check-up. Maya gave me options to get my teeth repaired, and I now have 2 lovely new white fillings. I had also misplaced my denture, and Maya made me a new one, which fits so well and is so comfortable. The treatment from start to finish was explained in detail, and I’m really happy with the final results. I highly recommend this dental practice and am pleased to have found such a friendly, helpful team.
Today I had the ‘pleasure’ of a shiny new filling by Nishma, who has become a bit of a household name around here! The kids love her, and now, I have to pretend to be “Dentist Daddy” when brushing their teeth (inspired by Nishma)!
Zero pain.
100% friendliness.
On time.
In and out in 30 minutes.
As always, a lovely experience. Well, aside from the bill, I guess, but thanks to the UK Govt, we have to pay for dental treatment these days, and Nishma’s expertise comes at a fair and appropriate cost. Thanks, Nishma (and your lovely colleague) for a smooth experience (and smooth filling too)!
So grateful for the care and attention given at this practice every time I attend. Most recently to Maya, Ishira and Sarah for their patience, care in getting me seen and treated as quickly as possible. The phone call to check on me the next day is such a lovely touch; I have never had that at any other dental practice before. Highly recommend this practice!
Very professional team. Always on time. Very clean premises. Friendly staff. They seem up-to-date with new techniques and equipment. They take pride in their work. I have had several dentists at this practice over the years, but they are all very good at their job. Can recommend.
Recently changed my dentist to a local one and I have found all the staff here very friendly, caring and most importantly, understanding in terms of my ongoing oral health care. Treatment has been exceptional, easy and importantly pain pain-free and appropriate. Thank you, Anita, Maya and the team.
Excellent friendly practice, treatment was very good and painless, everything was explained, and great care was taken to ensure my comfort. Good ambience in the waiting room, the appointment was on time. Recommended.
Totally recommend this Dental Surgery! Maya and her team were very professional and kind. I cannot express how grateful I am to have new crowns and a bridge so that I can smile with confidence. They talked me through every stage, and the final result was brilliant.
Always delighted with the results of any treatment I receive. Face may crumble with age, but my smile shows the benefit of long years of care from Knightsfield Dental Practice.
Since Anita has been taking care of my teeth, I have been highly satisfied with Knightsfield Dental Practice. She is always bright, positive, caring and very clear about treatment options, which she executes professionally and well. Love my visits now.
I had an old filing replaced. The procedure was delivered very well, and in a nice, calm atmosphere. The anaesthetic took quite a long time to ease off – more like 4 hours before I could feel my bottom lip and cheek, but I’d rather that than feel the procedure (which I didn’t).
Highly recommend the service at the dentist. Thoroughly professional in the explanation and treatment of my teeth. A great experience, thank you!
I had an old filling that had to be replaced, and I had the treatment today. I can honestly say it was the most relaxing treatment; I didn’t feel a thing, and the dentist and her dental nurse were brilliant.
My treatment was concisely explained from start to finish, including aftercare. I was reminded of each appointment both by phone and email. The professionalism and diligence of Maya, Sarah and all staff were faultless.
I had to go to this practice as an emergency, being a very nervous patient, I can not tell you how nice they were. The dentist informed me of what treatment should be done, and the dental nurse was lovely and held my hand throughout the tooth extraction; they even gave me a coping strategy to use. Cannot recommend them enough, all staff were lovely and friendly.
I recently had some dental issues with broken teeth and saw Maya for a check-up. Maya gave me options to get my teeth repaired, and I now have 2 lovely new white fillings. I had also misplaced my denture, and Maya made me a new one, which fits so well and is so comfortable. The treatment from start to finish was explained in detail, and I’m really happy with the final results. I highly recommend this dental practice and am pleased to have found such a friendly, helpful team.
Today I had the ‘pleasure’ of a shiny new filling by Nishma, who has become a bit of a household name around here! The kids love her, and now, I have to pretend to be “Dentist Daddy” when brushing their teeth (inspired by Nishma)!
Zero pain.
100% friendliness.
On time.
In and out in 30 minutes.
As always, a lovely experience. Well, aside from the bill, I guess, but thanks to the UK Govt, we have to pay for dental treatment these days, and Nishma’s expertise comes at a fair and appropriate cost. Thanks, Nishma (and your lovely colleague) for a smooth experience (and smooth filling too)!
So grateful for the care and attention given at this practice every time I attend. Most recently to Maya, Ishira and Sarah for their patience, care in getting me seen and treated as quickly as possible. The phone call to check on me the next day is such a lovely touch; I have never had that at any other dental practice before. Highly recommend this practice!
Very professional team. Always on time. Very clean premises. Friendly staff. They seem up-to-date with new techniques and equipment. They take pride in their work. I have had several dentists at this practice over the years, but they are all very good at their job. Can recommend.
Recently changed my dentist to a local one and I have found all the staff here very friendly, caring and most importantly, understanding in terms of my ongoing oral health care. Treatment has been exceptional, easy and importantly pain pain-free and appropriate. Thank you, Anita, Maya and the team.
Excellent friendly practice, treatment was very good and painless, everything was explained, and great care was taken to ensure my comfort. Good ambience in the waiting room, the appointment was on time. Recommended.
Totally recommend this Dental Surgery! Maya and her team were very professional and kind. I cannot express how grateful I am to have new crowns and a bridge so that I can smile with confidence. They talked me through every stage, and the final result was brilliant.
Always delighted with the results of any treatment I receive. Face may crumble with age, but my smile shows the benefit of long years of care from Knightsfield Dental Practice.
Since Anita has been taking care of my teeth, I have been highly satisfied with Knightsfield Dental Practice. She is always bright, positive, caring and very clear about treatment options, which she executes professionally and well. Love my visits now.
I had an old filing replaced. The procedure was delivered very well, and in a nice, calm atmosphere. The anaesthetic took quite a long time to ease off – more like 4 hours before I could feel my bottom lip and cheek, but I’d rather that than feel the procedure (which I didn’t).
Highly recommend the service at the dentist. Thoroughly professional in the explanation and treatment of my teeth. A great experience, thank you!
I had an old filling that had to be replaced, and I had the treatment today. I can honestly say it was the most relaxing treatment; I didn’t feel a thing, and the dentist and her dental nurse were brilliant.
My treatment was concisely explained from start to finish, including aftercare. I was reminded of each appointment both by phone and email. The professionalism and diligence of Maya, Sarah and all staff were faultless.
I had to go to this practice as an emergency, being a very nervous patient, I can not tell you how nice they were. The dentist informed me of what treatment should be done, and the dental nurse was lovely and held my hand throughout the tooth extraction; they even gave me a coping strategy to use. Cannot recommend them enough, all staff were lovely and friendly.
Principal Dentist
Maya qualified from the University of Sheffield in 2007 and joined the practice in 2008. She further qualified with a diploma of MJDF (Membership of the Joint Dental…
READ morePrincipal Dentist
Maya qualified from the University of Sheffield in 2007 and joined the practice in 2008. She further qualified with a…
READ morePrincipal Dentist
Maya qualified from the University of Sheffield in 2007 and joined the practice in 2008. She further qualified with a diploma of…
READ moreDentist
Ishira graduated from King's College London in 2021. She joined the practice in February 2023. She has a calm, caring approach to patients, making them feel comfortable during…
READ moreDentist
Ishira graduated from King's College London in 2021. She joined the practice in February 2023. She has a calm, caring…
READ moreDentist
Ishira graduated from King's College London in 2021. She joined the practice in February 2023. She has a calm, caring approach to…
READ moreDentist
Dr Nishma Ardeshna is a passionate and caring dentist who is committed to helping her patients achieve their best smile. Nishma graduated from King's College University in 2018…
READ moreDentist
Dr Nishma Ardeshna is a passionate and caring dentist who is committed to helping her patients achieve their best smile.…
READ moreDentist
Dr Nishma Ardeshna is a passionate and caring dentist who is committed to helping her patients achieve their best smile. Nishma graduated…
READ moreDental Therapist
Fatima is a registered Associate Dental Therapist. Prior to dentistry, she completed her bachelor’s degree in Biomedical Science and a Master’s in Dental Oral Biology, both studied in…
READ moreDental Therapist
Fatima is a registered Associate Dental Therapist. Prior to dentistry, she completed her bachelor’s degree in Biomedical Science and a…
READ moreDental Therapist
Fatima is a registered Associate Dental Therapist. Prior to dentistry, she completed her bachelor’s degree in Biomedical Science and a Master’s in…
READ moreHygienist
Anita graduated from the University of Essex in 2020. Beforehand, Anita worked as a dental nurse for 4 years, and she provided oral health education in primary schools.…
READ moreHygienist
Anita graduated from the University of Essex in 2020. Beforehand, Anita worked as a dental nurse for 4 years, and…
READ moreHygienist
Anita graduated from the University of Essex in 2020. Beforehand, Anita worked as a dental nurse for 4 years, and she provided…
READ moreHygienist
Paulina is a dedicated and enthusiastic dental hygienist providing quality treatment with tailored advice to help her patients achieve and maintain good oral health. She has a very…
READ moreHygienist
Paulina is a dedicated and enthusiastic dental hygienist providing quality treatment with tailored advice to help her patients achieve and…
READ moreHygienist
Paulina is a dedicated and enthusiastic dental hygienist providing quality treatment with tailored advice to help her patients achieve and maintain good…
READ moreCompliance & HR Manager and Senior Dental Nurse
Natalie is a long-standing key team member. She has been part of the team at Knightsfield since 2000. She qualified with the National Certificate NEBDN dental nurse qualification…
READ moreCompliance & HR Manager and Senior Dental Nurse
Natalie is a long-standing key team member. She has been part of the team at Knightsfield since 2000. She qualified…
READ moreCompliance & HR Manager and Senior Dental Nurse
Natalie is a long-standing key team member. She has been part of the team at Knightsfield since 2000. She qualified with the…
READ moreBusiness Administrator
Nhi joined the practice in May 2013 as a receptionist and, over the years, she has steadily grown into an instrumental key team member. She has taken on…
READ moreBusiness Administrator
Nhi joined the practice in May 2013 as a receptionist and, over the years, she has steadily grown into an…
READ moreBusiness Administrator
Nhi joined the practice in May 2013 as a receptionist and, over the years, she has steadily grown into an instrumental key…
READ moreTreatment and Patient Care Co-ordinator, Dental Nurse
Sarah joined our team at the start of 2018. She qualified with a distinction in her Diploma in Dental Nursing Level 3 QCF City & Guilds in 2019,…
READ moreTreatment and Patient Care Co-ordinator, Dental Nurse
Sarah joined our team at the start of 2018. She qualified with a distinction in her Diploma in Dental Nursing…
READ moreTreatment and Patient Care Co-ordinator, Dental Nurse
Sarah joined our team at the start of 2018. She qualified with a distinction in her Diploma in Dental Nursing Level 3…
READ moreHead Dental Nurse and Infection Control Lead
Kirsty joined the practice in January 2016 from a background in caring. She qualified with a Diploma in Dental Nursing Level 3 QCF City & Guilds in 2018.…
READ moreHead Dental Nurse and Infection Control Lead
Kirsty joined the practice in January 2016 from a background in caring. She qualified with a Diploma in Dental Nursing…
READ moreHead Dental Nurse and Infection Control Lead
Kirsty joined the practice in January 2016 from a background in caring. She qualified with a Diploma in Dental Nursing Level 3…
READ moreDental Nurse and Receptionist
Kath is a key cornerstone of the team, part of the foundations of Knightsfield, having featured as a reliable team member since 1975. She has been GDC registered…
READ moreDental Nurse and Receptionist
Kath is a key cornerstone of the team, part of the foundations of Knightsfield, having featured as a reliable team…
READ moreDental Nurse and Receptionist
Kath is a key cornerstone of the team, part of the foundations of Knightsfield, having featured as a reliable team member since…
READ moreDental Nurse
Stevie is an experienced and dedicated dental nurse. She has been part of the team at Knightsfield for over 35 years. Stevie retired from regular hours in 2023,…
READ moreDental Nurse
Stevie is an experienced and dedicated dental nurse. She has been part of the team at Knightsfield for over 35…
READ moreDental Nurse
Stevie is an experienced and dedicated dental nurse. She has been part of the team at Knightsfield for over 35 years. Stevie…
READ moreReceptionist
Amanda joined the team at Knightsfield in March 2018. She joined as a dedicated receptionist and has also taken on additional administrative roles, including the administration of our…
READ moreReceptionist
Amanda joined the team at Knightsfield in March 2018. She joined as a dedicated receptionist and has also taken on…
READ moreReceptionist
Amanda joined the team at Knightsfield in March 2018. She joined as a dedicated receptionist and has also taken on additional administrative…
READ moreDental Nurse
Jennie joined the team in September 2023. She first started as a receptionist and then started the apprenticeship in Dental nursing soon after. She has recently completed her…
READ moreDental Nurse
Jennie joined the team in September 2023. She first started as a receptionist and then started the apprenticeship in Dental…
READ moreDental Nurse
Jennie joined the team in September 2023. She first started as a receptionist and then started the apprenticeship in Dental nursing soon…
READ moreDental Nurse
Jessica joined our team in January 2024 as an apprentice nurse. She completed her exams in November 2025 with flying colours. Jessica is a wonderfully caring and considerate…
READ moreDental Nurse
Jessica joined our team in January 2024 as an apprentice nurse. She completed her exams in November 2025 with flying…
READ moreDental Nurse
Jessica joined our team in January 2024 as an apprentice nurse. She completed her exams in November 2025 with flying colours. Jessica…
READ moreDental Nurse
Teah joined the Knightsfield team in May 2022. She originally started as a decontamination assistant and then progressed to start her dental apprenticeship soon after. Teah has completed…
READ moreDental Nurse
Teah joined the Knightsfield team in May 2022. She originally started as a decontamination assistant and then progressed to start…
READ moreDental Nurse
Teah joined the Knightsfield team in May 2022. She originally started as a decontamination assistant and then progressed to start her dental…
READ moreReceptionist
Lee joined the practice in June 2025 as a receptionist. She’s learning all the systems and procedures and really enjoys helping patients and colleagues. She’s fast becoming a…
READ moreReceptionist
Lee joined the practice in June 2025 as a receptionist. She’s learning all the systems and procedures and really enjoys…
READ moreReceptionist
Lee joined the practice in June 2025 as a receptionist. She’s learning all the systems and procedures and really enjoys helping patients…
READ moreTrainee Dental Nurse
Srna joined the team in December 2025 as an apprentice dental nurse. She is currently learning the role in surgery and at reception. She is a quick learner…
READ moreTrainee Dental Nurse
Srna joined the team in December 2025 as an apprentice dental nurse. She is currently learning the role in surgery…
READ moreTrainee Dental Nurse
Srna joined the team in December 2025 as an apprentice dental nurse. She is currently learning the role in surgery and at…
READ moreTrainee Dental Nurse and Receptionist
Grace joined the team in December 2025. She is currently working on reception and will be starting the apprenticeship for dental nursing in the upcoming months. Grace is…
READ moreTrainee Dental Nurse and Receptionist
Grace joined the team in December 2025. She is currently working on reception and will be starting the apprenticeship for…
READ moreTrainee Dental Nurse and Receptionist
Grace joined the team in December 2025. She is currently working on reception and will be starting the apprenticeship for dental nursing…
READ more
That depends a little on your lifestyle. If you enjoy coffee, tea, or red wine, you may notice some staining over time. The good news is that with Boutique Whitening, you can top up easily whenever you need to. With good oral care, your brighter smile can last for years.
Book a consultation today and let our friendly team guide you towards a healthier, more confident smile with personalised advice, modern treatments, and genuine care every step of the way.
BOOK YOUR CONSULTATION