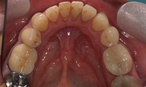
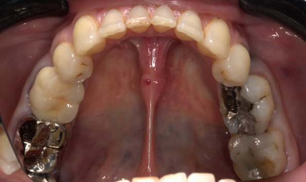
What exactly is a dental filling?

A filling is one of the simplest and most effective ways to repair a tooth that’s been damaged by decay or has broken down. We carefully remove the affected part of the tooth and fill the space with a strong material that blends naturally with the rest of your smile. This stops the decay from spreading and restores your tooth so you can chew comfortably again.

Will the filling be noticeable?

We use tooth-coloured materials that match the shade of your natural teeth, so it’s virtually invisible when you smile or talk.

BOOK YOUR CONSULTATION right blue green circle arrow right white circle arrow Back to Dental Treatments right blue green circle arrow right white circle arrow

Get in touch

What will it feel like?

We make sure your tooth is fully numb before starting, so you’ll be comfortable throughout the procedure. Most patients say it feels similar to having a regular dental cleaning, just with a bit more time in the chair. You might feel some slight vibrations or feel a bit of water spray. Some procedures use a dental rubber dam, which is like a raincoat for your tooth. We will always give you the chance to take a break to stop whenever required, and the team will ensure you feel comfortable throughout.

Schedule An Appointment right blue green circle arrow right white circle arrow
Fillings

FORFillings

How long will my filling last?

With good oral hygiene and regular check-ups, your filling can last for many years before needing replacement.

Schedule An Appointment right blue green circle arrow right white circle arrow
Fillings

FORFillings

If you’ve noticed tooth sensitivity or think you might have a cavity, don’t wait until it gets worse.

Get in touch with us today to schedule your visit and look after your smile.

google blue red yellow green plain icon

Patrick C

I recently had some dental issues with broken teeth and saw Maya for a check-up. Maya gave me options to get my teeth repaired, and I now have 2 lovely new white fillings. I had also misplaced my denture, and Maya made me a new one, which fits so well and is so comfortable. The treatment from start to finish was explained in detail, and I’m really happy with the final results. I highly recommend this dental practice and am pleased to have found such a friendly, helpful team.

star blue green plain icon
google blue red yellow green plain icon

Justin S

Today I had the ‘pleasure’ of a shiny new filling by Nishma, who has become a bit of a household name around here! The kids love her, and now, I have to pretend to be “Dentist Daddy” when brushing their teeth (inspired by Nishma)!

Zero pain.
100% friendliness.
On time.
In and out in 30 minutes.

As always, a lovely experience. Well, aside from the bill, I guess, but thanks to the UK Govt, we have to pay for dental treatment these days, and Nishma’s expertise comes at a fair and appropriate cost. Thanks, Nishma (and your lovely colleague) for a smooth experience (and smooth filling too)!

star blue green plain icon
google blue red yellow green plain icon

Nicola W

So grateful for the care and attention given at this practice every time I attend. Most recently to Maya, Ishira and Sarah for their patience, care in getting me seen and treated as quickly as possible. The phone call to check on me the next day is such a lovely touch; I have never had that at any other dental practice before. Highly recommend this practice!

star blue green plain icon
google blue red yellow green plain icon

Isabelle B

Very professional team. Always on time. Very clean premises. Friendly staff. They seem up-to-date with new techniques and equipment. They take pride in their work. I have had several dentists at this practice over the years, but they are all very good at their job. Can recommend.

star blue green plain icon
google blue red yellow green plain icon

Eric D

Recently changed my dentist to a local one and I have found all the staff here very friendly, caring and most importantly, understanding in terms of my ongoing oral health care. Treatment has been exceptional, easy and importantly pain pain-free and appropriate. Thank you, Anita, Maya and the team.

star blue green plain icon
google blue red yellow green plain icon

Anthony B

Excellent friendly practice, treatment was very good and painless, everything was explained, and great care was taken to ensure my comfort. Good ambience in the waiting room, the appointment was on time. Recommended.

star blue green plain icon
google blue red yellow green plain icon

Ann WR

Totally recommend this Dental Surgery! Maya and her team were very professional and kind. I cannot express how grateful I am to have new crowns and a bridge so that I can smile with confidence. They talked me through every stage, and the final result was brilliant.

star blue green plain icon
google blue red yellow green plain icon

Margo L

Always delighted with the results of any treatment I receive. Face may crumble with age, but my smile shows the benefit of long years of care from Knightsfield Dental Practice.

star blue green plain icon
google blue red yellow green plain icon

Wendy H

Since Anita has been taking care of my teeth, I have been highly satisfied with Knightsfield Dental Practice. She is always bright, positive, caring and very clear about treatment options, which she executes professionally and well. Love my visits now.

star blue green plain icon
google blue red yellow green plain icon

Stuart W

I had an old filing replaced. The procedure was delivered very well, and in a nice, calm atmosphere. The anaesthetic took quite a long time to ease off – more like 4 hours before I could feel my bottom lip and cheek, but I’d rather that than feel the procedure (which I didn’t).

star blue green plain icon
google blue red yellow green plain icon

Nick B

Highly recommend the service at the dentist. Thoroughly professional in the explanation and treatment of my teeth. A great experience, thank you!

star blue green plain icon
google blue red yellow green plain icon

Clare A

I had an old filling that had to be replaced, and I had the treatment today. I can honestly say it was the most relaxing treatment; I didn’t feel a thing, and the dentist and her dental nurse were brilliant.

star blue green plain icon
google blue red yellow green plain icon

Steven W

My treatment was concisely explained from start to finish, including aftercare. I was reminded of each appointment both by phone and email. The professionalism and diligence of Maya, Sarah and all staff were faultless.

star blue green plain icon
google blue red yellow green plain icon

Karen J

I had to go to this practice as an emergency, being a very nervous patient, I can not tell you how nice they were. The dentist informed me of what treatment should be done, and the dental nurse was lovely and held my hand throughout the tooth extraction; they even gave me a coping strategy to use. Cannot recommend them enough, all staff were lovely and friendly.

star blue green plain icon
google blue red yellow green plain icon

Patrick C

I recently had some dental issues with broken teeth and saw Maya for a check-up. Maya gave me options to get my teeth repaired, and I now have 2 lovely new white fillings. I had also misplaced my denture, and Maya made me a new one, which fits so well and is so comfortable. The treatment from start to finish was explained in detail, and I’m really happy with the final results. I highly recommend this dental practice and am pleased to have found such a friendly, helpful team.

star blue green plain icon
google blue red yellow green plain icon

Justin S

Today I had the ‘pleasure’ of a shiny new filling by Nishma, who has become a bit of a household name around here! The kids love her, and now, I have to pretend to be “Dentist Daddy” when brushing their teeth (inspired by Nishma)!

Zero pain.
100% friendliness.
On time.
In and out in 30 minutes.

As always, a lovely experience. Well, aside from the bill, I guess, but thanks to the UK Govt, we have to pay for dental treatment these days, and Nishma’s expertise comes at a fair and appropriate cost. Thanks, Nishma (and your lovely colleague) for a smooth experience (and smooth filling too)!

star blue green plain icon
google blue red yellow green plain icon

Nicola W

So grateful for the care and attention given at this practice every time I attend. Most recently to Maya, Ishira and Sarah for their patience, care in getting me seen and treated as quickly as possible. The phone call to check on me the next day is such a lovely touch; I have never had that at any other dental practice before. Highly recommend this practice!

star blue green plain icon
google blue red yellow green plain icon

Isabelle B

Very professional team. Always on time. Very clean premises. Friendly staff. They seem up-to-date with new techniques and equipment. They take pride in their work. I have had several dentists at this practice over the years, but they are all very good at their job. Can recommend.

star blue green plain icon
google blue red yellow green plain icon

Eric D

Recently changed my dentist to a local one and I have found all the staff here very friendly, caring and most importantly, understanding in terms of my ongoing oral health care. Treatment has been exceptional, easy and importantly pain pain-free and appropriate. Thank you, Anita, Maya and the team.

star blue green plain icon
google blue red yellow green plain icon

Anthony B

Excellent friendly practice, treatment was very good and painless, everything was explained, and great care was taken to ensure my comfort. Good ambience in the waiting room, the appointment was on time. Recommended.

star blue green plain icon
google blue red yellow green plain icon

Ann WR

Totally recommend this Dental Surgery! Maya and her team were very professional and kind. I cannot express how grateful I am to have new crowns and a bridge so that I can smile with confidence. They talked me through every stage, and the final result was brilliant.

star blue green plain icon
google blue red yellow green plain icon

Margo L

Always delighted with the results of any treatment I receive. Face may crumble with age, but my smile shows the benefit of long years of care from Knightsfield Dental Practice.

star blue green plain icon
google blue red yellow green plain icon

Wendy H

Since Anita has been taking care of my teeth, I have been highly satisfied with Knightsfield Dental Practice. She is always bright, positive, caring and very clear about treatment options, which she executes professionally and well. Love my visits now.

star blue green plain icon
google blue red yellow green plain icon

Stuart W

I had an old filing replaced. The procedure was delivered very well, and in a nice, calm atmosphere. The anaesthetic took quite a long time to ease off – more like 4 hours before I could feel my bottom lip and cheek, but I’d rather that than feel the procedure (which I didn’t).

star blue green plain icon
google blue red yellow green plain icon

Nick B

Highly recommend the service at the dentist. Thoroughly professional in the explanation and treatment of my teeth. A great experience, thank you!

star blue green plain icon
google blue red yellow green plain icon

Clare A

I had an old filling that had to be replaced, and I had the treatment today. I can honestly say it was the most relaxing treatment; I didn’t feel a thing, and the dentist and her dental nurse were brilliant.

star blue green plain icon
google blue red yellow green plain icon

Steven W

My treatment was concisely explained from start to finish, including aftercare. I was reminded of each appointment both by phone and email. The professionalism and diligence of Maya, Sarah and all staff were faultless.

star blue green plain icon
google blue red yellow green plain icon

Karen J

I had to go to this practice as an emergency, being a very nervous patient, I can not tell you how nice they were. The dentist informed me of what treatment should be done, and the dental nurse was lovely and held my hand throughout the tooth extraction; they even gave me a coping strategy to use. Cannot recommend them enough, all staff were lovely and friendly.

star blue green plain icon
VIEW TESTIMONIALS right white circle arrow right blue green circle arrow

Smile gallery

Onlay - case 1 before Before
Onlay - case 1 after After

Onlay - case 1

Learn more right white circle arrow right blue green circle arrow

Dr Maya Chohan

Principal Dentist

Maya qualified from the University of Sheffield in 2007 and joined the practice in 2008. She further qualified with a diploma of MJDF (Membership of the Joint Dental…

READ more right white circle arrow right blue green circle arrow VIEW ALL TEAM MEMBERS right blue green circle arrow right white circle arrow

Dr Maya Chohan

Principal Dentist

Maya qualified from the University of Sheffield in 2007 and joined the practice in 2008. She further qualified with a…

READ more right white circle arrow right blue green circle arrow VIEW ALL TEAM MEMBERS right blue green circle arrow right white circle arrow

Dr Maya Chohan

Principal Dentist

Maya qualified from the University of Sheffield in 2007 and joined the practice in 2008. She further qualified with a diploma of…

READ more right white circle arrow right blue green circle arrow VIEW ALL TEAM MEMBERS right blue green circle arrow right white circle arrow

Dr Ishira Shah

Dentist

Ishira graduated from King's College London in 2021. She joined the practice in February 2023. She has a calm, caring approach to patients, making them feel comfortable during…

READ more right white circle arrow right blue green circle arrow VIEW ALL TEAM MEMBERS right blue green circle arrow right white circle arrow

Dr Ishira Shah

Dentist

Ishira graduated from King's College London in 2021. She joined the practice in February 2023. She has a calm, caring…

READ more right white circle arrow right blue green circle arrow VIEW ALL TEAM MEMBERS right blue green circle arrow right white circle arrow

Dr Ishira Shah

Dentist

Ishira graduated from King's College London in 2021. She joined the practice in February 2023. She has a calm, caring approach to…

READ more right white circle arrow right blue green circle arrow VIEW ALL TEAM MEMBERS right blue green circle arrow right white circle arrow

Dr Nishma Ardeshna

Dentist

Dr Nishma Ardeshna is a passionate and caring dentist who is committed to helping her patients achieve their best smile. Nishma graduated from King's College University in 2018…

READ more right white circle arrow right blue green circle arrow VIEW ALL TEAM MEMBERS right blue green circle arrow right white circle arrow

Dr Nishma Ardeshna

Dentist

Dr Nishma Ardeshna is a passionate and caring dentist who is committed to helping her patients achieve their best smile.…

READ more right white circle arrow right blue green circle arrow VIEW ALL TEAM MEMBERS right blue green circle arrow right white circle arrow

Dr Nishma Ardeshna

Dentist

Dr Nishma Ardeshna is a passionate and caring dentist who is committed to helping her patients achieve their best smile. Nishma graduated…

READ more right white circle arrow right blue green circle arrow VIEW ALL TEAM MEMBERS right blue green circle arrow right white circle arrow

Fatima

Dental Therapist

Fatima is a registered Associate Dental Therapist. Prior to dentistry, she completed her bachelor’s degree in Biomedical Science and a Master’s in Dental Oral Biology, both studied in…

READ more right white circle arrow right blue green circle arrow VIEW ALL TEAM MEMBERS right blue green circle arrow right white circle arrow

Fatima

Dental Therapist

Fatima is a registered Associate Dental Therapist. Prior to dentistry, she completed her bachelor’s degree in Biomedical Science and a…

READ more right white circle arrow right blue green circle arrow VIEW ALL TEAM MEMBERS right blue green circle arrow right white circle arrow

Fatima

Dental Therapist

Fatima is a registered Associate Dental Therapist. Prior to dentistry, she completed her bachelor’s degree in Biomedical Science and a Master’s in…

READ more right white circle arrow right blue green circle arrow VIEW ALL TEAM MEMBERS right blue green circle arrow right white circle arrow

Anita Sarkadi

Hygienist

Anita graduated from the University of Essex in 2020. Beforehand, Anita worked as a dental nurse for 4 years, and she provided oral health education in primary schools.…

READ more right white circle arrow right blue green circle arrow VIEW ALL TEAM MEMBERS right blue green circle arrow right white circle arrow

Anita Sarkadi

Hygienist

Anita graduated from the University of Essex in 2020. Beforehand, Anita worked as a dental nurse for 4 years, and…

READ more right white circle arrow right blue green circle arrow VIEW ALL TEAM MEMBERS right blue green circle arrow right white circle arrow

Anita Sarkadi

Hygienist

Anita graduated from the University of Essex in 2020. Beforehand, Anita worked as a dental nurse for 4 years, and she provided…

READ more right white circle arrow right blue green circle arrow VIEW ALL TEAM MEMBERS right blue green circle arrow right white circle arrow

Paulina Blizard

Hygienist

Paulina is a dedicated and enthusiastic dental hygienist providing quality treatment with tailored advice to help her patients achieve and maintain good oral health. She has a very…

READ more right white circle arrow right blue green circle arrow VIEW ALL TEAM MEMBERS right blue green circle arrow right white circle arrow

Paulina Blizard

Hygienist

Paulina is a dedicated and enthusiastic dental hygienist providing quality treatment with tailored advice to help her patients achieve and…

READ more right white circle arrow right blue green circle arrow VIEW ALL TEAM MEMBERS right blue green circle arrow right white circle arrow

Paulina Blizard

Hygienist

Paulina is a dedicated and enthusiastic dental hygienist providing quality treatment with tailored advice to help her patients achieve and maintain good…

READ more right white circle arrow right blue green circle arrow VIEW ALL TEAM MEMBERS right blue green circle arrow right white circle arrow

Natalie Radway

Compliance & HR Manager and Senior Dental Nurse

Natalie is a long-standing key team member. She has been part of the team at Knightsfield since 2000. She qualified with the National Certificate NEBDN dental nurse qualification…

READ more right white circle arrow right blue green circle arrow VIEW ALL TEAM MEMBERS right blue green circle arrow right white circle arrow

Natalie Radway

Compliance & HR Manager and Senior Dental Nurse

Natalie is a long-standing key team member. She has been part of the team at Knightsfield since 2000. She qualified…

READ more right white circle arrow right blue green circle arrow VIEW ALL TEAM MEMBERS right blue green circle arrow right white circle arrow

Natalie Radway

Compliance & HR Manager and Senior Dental Nurse

Natalie is a long-standing key team member. She has been part of the team at Knightsfield since 2000. She qualified with the…

READ more right white circle arrow right blue green circle arrow VIEW ALL TEAM MEMBERS right blue green circle arrow right white circle arrow

Nhi Connolly

Business Administrator

Nhi joined the practice in May 2013 as a receptionist and, over the years, she has steadily grown into an instrumental key team member. She has taken on…

READ more right white circle arrow right blue green circle arrow VIEW ALL TEAM MEMBERS right blue green circle arrow right white circle arrow

Nhi Connolly

Business Administrator

Nhi joined the practice in May 2013 as a receptionist and, over the years, she has steadily grown into an…

READ more right white circle arrow right blue green circle arrow VIEW ALL TEAM MEMBERS right blue green circle arrow right white circle arrow

Nhi Connolly

Business Administrator

Nhi joined the practice in May 2013 as a receptionist and, over the years, she has steadily grown into an instrumental key…

READ more right white circle arrow right blue green circle arrow VIEW ALL TEAM MEMBERS right blue green circle arrow right white circle arrow

Sarah Peterson

Treatment and Patient Care Co-ordinator, Dental Nurse

Sarah joined our team at the start of 2018. She qualified with a distinction in her Diploma in Dental Nursing Level 3 QCF City & Guilds in 2019,…

READ more right white circle arrow right blue green circle arrow VIEW ALL TEAM MEMBERS right blue green circle arrow right white circle arrow

Sarah Peterson

Treatment and Patient Care Co-ordinator, Dental Nurse

Sarah joined our team at the start of 2018. She qualified with a distinction in her Diploma in Dental Nursing…

READ more right white circle arrow right blue green circle arrow VIEW ALL TEAM MEMBERS right blue green circle arrow right white circle arrow

Sarah Peterson

Treatment and Patient Care Co-ordinator, Dental Nurse

Sarah joined our team at the start of 2018. She qualified with a distinction in her Diploma in Dental Nursing Level 3…

READ more right white circle arrow right blue green circle arrow VIEW ALL TEAM MEMBERS right blue green circle arrow right white circle arrow

Kirsty McAuley

Head Dental Nurse and Infection Control Lead

Kirsty joined the practice in January 2016 from a background in caring. She qualified with a Diploma in Dental Nursing Level 3 QCF City & Guilds in 2018.…

READ more right white circle arrow right blue green circle arrow VIEW ALL TEAM MEMBERS right blue green circle arrow right white circle arrow

Kirsty McAuley

Head Dental Nurse and Infection Control Lead

Kirsty joined the practice in January 2016 from a background in caring. She qualified with a Diploma in Dental Nursing…

READ more right white circle arrow right blue green circle arrow VIEW ALL TEAM MEMBERS right blue green circle arrow right white circle arrow

Kirsty McAuley

Head Dental Nurse and Infection Control Lead

Kirsty joined the practice in January 2016 from a background in caring. She qualified with a Diploma in Dental Nursing Level 3…

READ more right white circle arrow right blue green circle arrow VIEW ALL TEAM MEMBERS right blue green circle arrow right white circle arrow

Kathleen Irons

Dental Nurse and Receptionist

Kath is a key cornerstone of the team, part of the foundations of Knightsfield, having featured as a reliable team member since 1975. She has been GDC registered…

READ more right white circle arrow right blue green circle arrow VIEW ALL TEAM MEMBERS right blue green circle arrow right white circle arrow

Kathleen Irons

Dental Nurse and Receptionist

Kath is a key cornerstone of the team, part of the foundations of Knightsfield, having featured as a reliable team…

READ more right white circle arrow right blue green circle arrow VIEW ALL TEAM MEMBERS right blue green circle arrow right white circle arrow

Kathleen Irons

Dental Nurse and Receptionist

Kath is a key cornerstone of the team, part of the foundations of Knightsfield, having featured as a reliable team member since…

READ more right white circle arrow right blue green circle arrow VIEW ALL TEAM MEMBERS right blue green circle arrow right white circle arrow

Stevie Ward

Dental Nurse

Stevie is an experienced and dedicated dental nurse. She has been part of the team at Knightsfield for over 35 years. Stevie retired from regular hours in 2023,…

READ more right white circle arrow right blue green circle arrow VIEW ALL TEAM MEMBERS right blue green circle arrow right white circle arrow

Stevie Ward

Dental Nurse

Stevie is an experienced and dedicated dental nurse. She has been part of the team at Knightsfield for over 35…

READ more right white circle arrow right blue green circle arrow VIEW ALL TEAM MEMBERS right blue green circle arrow right white circle arrow

Stevie Ward

Dental Nurse

Stevie is an experienced and dedicated dental nurse. She has been part of the team at Knightsfield for over 35 years. Stevie…

READ more right white circle arrow right blue green circle arrow VIEW ALL TEAM MEMBERS right blue green circle arrow right white circle arrow

Amanda Malekides

Receptionist

Amanda joined the team at Knightsfield in March 2018. She joined as a dedicated receptionist and has also taken on additional administrative roles, including the administration of our…

READ more right white circle arrow right blue green circle arrow VIEW ALL TEAM MEMBERS right blue green circle arrow right white circle arrow

Amanda Malekides

Receptionist

Amanda joined the team at Knightsfield in March 2018. She joined as a dedicated receptionist and has also taken on…

READ more right white circle arrow right blue green circle arrow VIEW ALL TEAM MEMBERS right blue green circle arrow right white circle arrow

Amanda Malekides

Receptionist

Amanda joined the team at Knightsfield in March 2018. She joined as a dedicated receptionist and has also taken on additional administrative…

READ more right white circle arrow right blue green circle arrow VIEW ALL TEAM MEMBERS right blue green circle arrow right white circle arrow

Jennifer Ross

Dental Nurse

Jennie joined the team in September 2023. She first started as a receptionist and then started the apprenticeship in Dental nursing soon after. She has recently completed her…

READ more right white circle arrow right blue green circle arrow VIEW ALL TEAM MEMBERS right blue green circle arrow right white circle arrow

Jennifer Ross

Dental Nurse

Jennie joined the team in September 2023. She first started as a receptionist and then started the apprenticeship in Dental…

READ more right white circle arrow right blue green circle arrow VIEW ALL TEAM MEMBERS right blue green circle arrow right white circle arrow

Jennifer Ross

Dental Nurse

Jennie joined the team in September 2023. She first started as a receptionist and then started the apprenticeship in Dental nursing soon…

READ more right white circle arrow right blue green circle arrow VIEW ALL TEAM MEMBERS right blue green circle arrow right white circle arrow

Jessica Pamparau

Dental Nurse

Jessica joined our team in January 2024 as an apprentice nurse. She completed her exams in November 2025 with flying colours. Jessica is a wonderfully caring and considerate…

READ more right white circle arrow right blue green circle arrow VIEW ALL TEAM MEMBERS right blue green circle arrow right white circle arrow

Jessica Pamparau

Dental Nurse

Jessica joined our team in January 2024 as an apprentice nurse. She completed her exams in November 2025 with flying…

READ more right white circle arrow right blue green circle arrow VIEW ALL TEAM MEMBERS right blue green circle arrow right white circle arrow

Jessica Pamparau

Dental Nurse

Jessica joined our team in January 2024 as an apprentice nurse. She completed her exams in November 2025 with flying colours. Jessica…

READ more right white circle arrow right blue green circle arrow VIEW ALL TEAM MEMBERS right blue green circle arrow right white circle arrow

Teah Webb

Dental Nurse

Teah joined the Knightsfield team in May 2022. She originally started as a decontamination assistant and then progressed to start her dental apprenticeship soon after. Teah has completed…

READ more right white circle arrow right blue green circle arrow VIEW ALL TEAM MEMBERS right blue green circle arrow right white circle arrow

Teah Webb

Dental Nurse

Teah joined the Knightsfield team in May 2022. She originally started as a decontamination assistant and then progressed to start…

READ more right white circle arrow right blue green circle arrow VIEW ALL TEAM MEMBERS right blue green circle arrow right white circle arrow

Teah Webb

Dental Nurse

Teah joined the Knightsfield team in May 2022. She originally started as a decontamination assistant and then progressed to start her dental…

READ more right white circle arrow right blue green circle arrow VIEW ALL TEAM MEMBERS right blue green circle arrow right white circle arrow

Lee Levin

Receptionist

Lee joined the practice in June 2025 as a receptionist. She’s learning all the systems and procedures and really enjoys helping patients and colleagues. She’s fast becoming a…

READ more right white circle arrow right blue green circle arrow VIEW ALL TEAM MEMBERS right blue green circle arrow right white circle arrow

Lee Levin

Receptionist

Lee joined the practice in June 2025 as a receptionist. She’s learning all the systems and procedures and really enjoys…

READ more right white circle arrow right blue green circle arrow VIEW ALL TEAM MEMBERS right blue green circle arrow right white circle arrow

Lee Levin

Receptionist

Lee joined the practice in June 2025 as a receptionist. She’s learning all the systems and procedures and really enjoys helping patients…

READ more right white circle arrow right blue green circle arrow VIEW ALL TEAM MEMBERS right blue green circle arrow right white circle arrow

Srna Stojanovic

Trainee Dental Nurse

Srna joined the team in December 2025 as an apprentice dental nurse. She is currently learning the role in surgery and at reception. She is a quick learner…

READ more right white circle arrow right blue green circle arrow VIEW ALL TEAM MEMBERS right blue green circle arrow right white circle arrow

Srna Stojanovic

Trainee Dental Nurse

Srna joined the team in December 2025 as an apprentice dental nurse. She is currently learning the role in surgery…

READ more right white circle arrow right blue green circle arrow VIEW ALL TEAM MEMBERS right blue green circle arrow right white circle arrow

Srna Stojanovic

Trainee Dental Nurse

Srna joined the team in December 2025 as an apprentice dental nurse. She is currently learning the role in surgery and at…

READ more right white circle arrow right blue green circle arrow VIEW ALL TEAM MEMBERS right blue green circle arrow right white circle arrow

Grace Lister

Trainee Dental Nurse and Receptionist

Grace joined the team in December 2025. She is currently working on reception and will be starting the apprenticeship for dental nursing in the upcoming months. Grace is…

READ more right white circle arrow right blue green circle arrow VIEW ALL TEAM MEMBERS right blue green circle arrow right white circle arrow

Grace Lister

Trainee Dental Nurse and Receptionist

Grace joined the team in December 2025. She is currently working on reception and will be starting the apprenticeship for…

READ more right white circle arrow right blue green circle arrow VIEW ALL TEAM MEMBERS right blue green circle arrow right white circle arrow

Grace Lister

Trainee Dental Nurse and Receptionist

Grace joined the team in December 2025. She is currently working on reception and will be starting the apprenticeship for dental nursing…

READ more right white circle arrow right blue green circle arrow VIEW ALL TEAM MEMBERS right blue green circle arrow right white circle arrow

Book a consultation today and let our friendly team guide you towards a healthier, more confident smile with personalised advice, modern treatments, and genuine care every step of the way.

BOOK YOUR CONSULTATION right blue green circle arrow right white circle arrow

instagram instagram Instagram

facebook facebook Facebook

✨ Brighten Your Smile with Professional Tooth Whitening with @boutiquewhitening_ ✨

Want a whiter, more confident smile? 🦷😁 Tooth whitening is a quick and safe way to remove stains caused by coffee, tea, fizzy drinks, wine, and everyday life. Our professional whitening treatments can help you achieve a noticeably brighter smile in no time!

✅ Safe & effective
✅ Fast results
✅ Boosts confidence

Ready to shine? Book your appointment today and let your smile sparkle! ✨

#ToothWhitening #BrightSmile #DentalCare #SmileConfidence #HealthyTeeth DentalClinic SmileMakeover

...

Not every case follows the “ideal” textbook solution — sometimes the best treatment is the one tailored to the patient. 

In this case, the existing crowns were mismatched in colour and shape, affecting both the smile and the bite. An implant wasn’t a viable option in this case and the patient didn’t want a removable prosthesis, so we designed a bespoke fixed bridge to restore harmony and function. 

The result: balanced aesthetics, improved function, and a natural-looking smile that blends seamlessly with the surrounding teeth.

Every smile deserves a solution designed just for it. ✨

#CosmeticDentistry #FixedBridge #RestorativeDentistry #BeforeAndAfter #Welwyngardencity keepsmiling

...

A natural smile transformation — achieved without drilling, injections, or removing healthy tooth structure. ✨

This case was completed using Zero Prep Veneers, a minimally invasive approach designed to enhance the smile while preserving the natural teeth underneath.

For this patient, the goal was to improve the shape, symmetry, and overall harmony of the front teeth while keeping the treatment as conservative as possible. With zero-preparation veneers, ultra-thin ceramic restorations are carefully bonded to the surface of the teeth to refine their appearance while maintaining the integrity of the natural enamel.

What makes this treatment unique is that it required:
✔️ No anaesthetic or numbing injections
✔️ No drilling of the natural teeth
✔️ No removal of healthy tooth structure

Because the natural enamel remains untouched, the procedure is comfortable, conservative, and designed to maintain the long-term health of the teeth.

The final result is a smile that looks balanced, brighter, and completely natural, while preserving what matters most — the patient’s own tooth structure.

🦷 Dental implants were also placed to replace the UL3 and UL4 gap, restoring the missing teeth and completing the smile with a stable, long-term solution.

#zeroprepveneers #smiletransformation #dentalimplants #cosmeticdentistry #welwyngardencity

...

Today we celebrate International Women’s Day and the incredible women who make up our team. 💙

As an all women dental practice, we’re proud to work alongside such talented, compassionate, and dedicated professionals every day. From caring for our patients to supporting one another behind the scenes, our team shows the power of collaboration, kindness, and resilience.

We believe that when women support women, amazing things happen. Together we inspire, uplift, and empower each other to grow — both professionally and personally.
Here’s to strong women, supportive teams, and inspiring the next generation to follow their dreams. ✨

Happy International Women’s Day from all of us!
#InternationalWomensDay #WomenSupportingWomen #WomenInHealthcare #DentalTeam #Inspiration

...

From decay to restoration 🦷✨
This severely carious tooth was treated with root canal therapy to eliminate infection and preserve the natural structure, followed by a direct composite build-up to restore strength, function, and aesthetics.

Saving teeth > extracting teeth. Always.

#RootCanalTreatment #CompositeRestoration #RestorativeDentistry #SaveYourTeeth #DentalCare

...

Root canal treatment completed successfully through an existing crown 🦷✨ 

This tooth presented with complex, curved roots — requiring careful planning, precision, and advanced techniques to thoroughly clean and shape the canals while preserving the crown. 

By accessing through the crown, we were able to treat the infection, relieve discomfort, and maintain the patient’s existing restoration — avoiding the immediate need for a new crown. 

A great example of saving a tooth with meticulous endodontic care 🙌 

#RootCanalTreatment #Endodontics #ToothSaving #DentalCare #PrecisionDentistry

...

PART 2  In this lower arch transformation with composite bonding, one lower incisor had been lost due to significant crowding and gum disease. 

This unfortunately left larger spaces and visible “black triangles,” which the patient understandably felt self-conscious about. 

Using minimally invasive, additive composite bonding, we reshaped the surrounding teeth to restore ideal proportions, close the spaces, and create a more harmonious appearance — all while ensuring the area remains cleansable and easy to maintain long term. 

A functional and aesthetic result, tailored to support both gum health and confidence ✨🦷 

#CompositeBonding #MinimallyInvasiveDentistry #GumHealth #SmileRehabilitation #AestheticDentistry

...

This error message is only visible to WordPress admins
Error: There is no connected business account for the user .
Google Rating
4.9
Google Rating
Google-review